Musculoskeletal tumors
In our clinic we see and treat a large number of children with musculoskeletal tumors. The child typically presents with a lump which may or a may not cause pain. Following clinical examination the child may require further radiological investigation and sometimes a biopsy in order to exclude malignant tumors.
Benign musculoskeletal tumors commonly seen include:
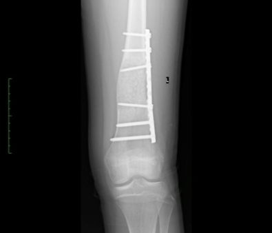
Post-operative xray of a distal aneurysmal bone
cyst treated with curettage, grafting and plating.
The x-ray shows an osteoid osteoma in the upper femur, which was treated by Dr. Zenios using radiofrequency cauterization.
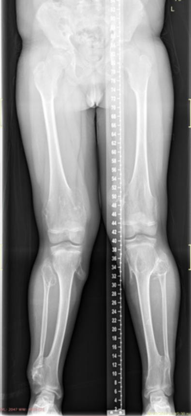
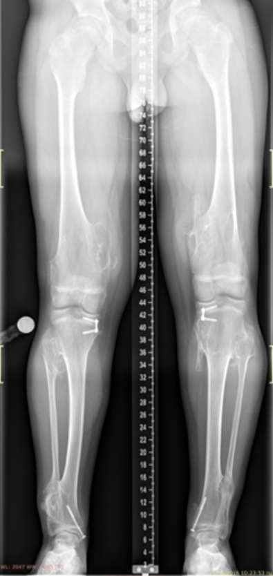
Multiple osteochondroma
The images show a case of multiple osteochondroma which was operated by
Dr. Zenios in order to restore the mechanical axis.
Pre-operative
Post-operative
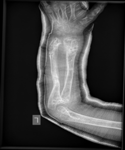
Olier’s disease
The images show a case of Olier’s disease which had a short and deformed forearm. He underwent surgical intervention by Dr. Zenios with the use of external osteosynthesis.
Pre-operative
External osteosynthesis
Post-operative