Cerebral Palsy
Five year old girl with cerebral palsy prior to surgical intervention. The left hip was subluxed.
Post-operative video of the patient above one year following surgical intervention. The left hip is now reduced.
Clubfoot








Pre-operative CP video
The above girl was diagnosed with Cerebral palsy. She was walking on tip toes and both legs were internally rotated.
POst-operative CP video
The girl seen below underwent multilevel surgery for cerebral palsy. The video is one year following surgery.
The video below ...
Congenital Hip Dislocation
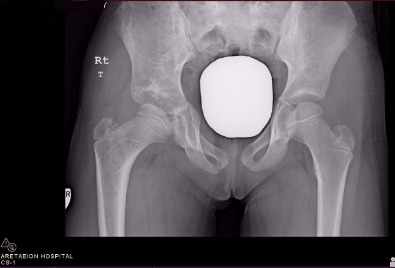
Pre-operative x-rays of a three and a half year old in Cyprus who presented with a limp because of congenital dislocation of the right hip
Latest post-op xrays after open reduction pelvic and femoral osteotomies four years down the line - The patient has a normal gait
Perthes' disease
A boy playing football after a femoral varus osteotomy for Perthes' disease
Patient with complex tibial fracture mobilising one week after application of Taylor Spatial frame. The frame allows s external manipulation of the fracture aided by a computer programme.
Right congenital clavicle pseudoarthrosis


A six year old girl who presented with right clavicle congenital pseudoarthrosis. Excellent functional outcome following surgical intervention.