μυοσκελετικoi ογκoi

Στην κλινική μας βλέπουμε και θεραπεύουμε ένα μεγάλο αριθμό παιδιών και εφήβων με την παρουσία μυοσκελετικών όγκων.  Οι μυοσκελετικοί όγκοι μπορεί να είναι καλοήθεις είτε ακόμη και κακοήθεις. Η ανίχνευση των όγκων διαπιστώνεται με ακτινολογικό έλεγχο είτε με την διενέργεια βιοψίας, εάν αυτή κρίνεται απαραίτητη.

Οι καλοήθεις μυοσκελετικοί όγκοι χωρίζονται σε δύο κατηγορίες, όπου στην πρώτη έχουμε τους καλοήθεις όγκους των οστών και στην δεύτερη τους καλοήθεις όγκους των μαλακών μορίων.

Καλοήθεις όγκοι οστών και μαλακών μορίων συχνά αφορούν:

  • Οστεοχόνδρωμα, παρουσιάζεται σαν οστικός  όγκος (σκληρό κουβάρι) ο οποίος είναι ψηλαφητός και θεραπεύεται με αφαίρεση, αν προκαλεί συμπτώματα.       


  • Απλή ή Ανευρυσματική κύστη  στα οστά, παρουσιάζεται με παθολογικά κατάγματα (κατάγματα χωρίς να υπάρχει σοβαρός  τραυματισμός). Η απλή είτε η ανευρυσματική κύστη εάν προκαλεί συμπτώματα χρήζει χειρουργικής επέμβασης για αφαίρεση της. 




Η εικόνα απεικονίζει περιστατικό με ανευρυσματική κύστη στο μηριαίο, το οποίο χειρουργήθηκε από τον Δρ. Ζένιο. Διενεργήθηκε  καθαρισμός της κύστης, τοποθέτηση μοσχεύματος και υλικό οστεοσύνθεσης.

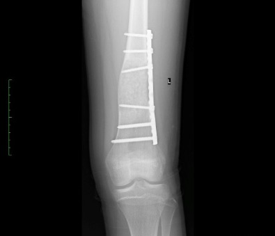
  • Οστεοειδές οστέωμα, καλοήθης όγκος,  ο οποίος προκαλεί συνήθως πόνο κατά τη διάρκεια της νύχτας. Συνήθως  θεραπεύεται με καυτηριασμό με ραδιοσυχνότητες.




Η ακτινογραφία απεικονίζει ένα οστεοειδές οστέωμα  στο άνω μέρος του μηριαίου, το οποίο θεραπεύτηκε από τον Δρ. Ζένιο, με την χρήση καυτηριασμού με ραδιοσυχνότητες.



  • Γάγγλιο, καλοήθης κύστη γεμάτη με διαυγές κολλώδες υγρό που εξορμά από παρακείμενη άρθρωση (συνήθως την άρθρωση του καρπού) και μπορεί να επηρεάζει την κίνηση των αρθρώσεων ή να προκαλεί πόνο.  Θεραπεύεται με αφαίρεση εάν και εφόσον προκαλεί  συμπτώματα. 






Η εικόνα απεικονίζει περιστατικό με παρουσία γάγγλιου, όπου πραγματοποιήθηκε αφαίρεση του απο τον Δρ. Ζένιο. 

  • Σύνδρομα στα οποία παρουσιάζονται καλοήθεις μυοσκελετικοί όγκοι. Όπως για παράδειγμα τα πολλαπλά οστεοχονδώματα, σύνδρομο το οποίο είναι συγγενές και πιθανόν να οδηγήσει σε παραμορφώσεις και πολλαπλές χειρουργικές επεμβάσεις. Νόσος του Ολιερ, όπου είναι η ύπαρξη πολλαπλών εγχονδρωμάτων, τα οποία συνίστανται σε ασύμμετρες χόνδρινες αλλοιώσεις με εξαιρετική ποικιλομορφία, όσον αφορά το μέγεθος, την εντόπιση, τον αριθμό, την εξέλιξη, την ηλικία των ασθενών στην έναρξη της νόσου και τις χειρουργικές απαιτήσεις.

Πολλαπλά οστεοχονδρώματα

Οι εικόνες απεικονίζουν περιστατικό με πολλαπλά οστεοχονδρώματα, το οποίο χειρουργήθηκε από τον Δρ. Ζένιο.

                   Προ-εγχειρητικά                                         

Μετ-εγχειρητικά

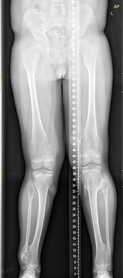
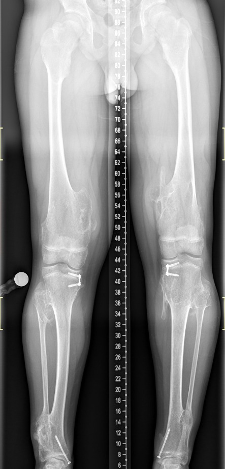
Νόσος του Όλιερ

Οι εικόνες απεικονίζουν ένα περιστατικό με την Νόσο του Όλιερ, όπου παρουσίαζε κοντύτερο αριστερό άκρο. Χειρουργήθηκε από τον Δρ. Ζένιο με την χρήση εξωτερικής οστεοσύνθεσης. 


Προ-εγχειρητικά                                  

Εξωτερική οστεοσύνθεση                           

            Μετ-εγχειρητικά